¿Piensas que ya es tarde para corregir tu sonrisa? Nada más lejos de la realidad. En Ortodoncia Dra. Fleitas, estamos especializados en tratamientos de ortodoncia para adultos, ayudándote a alinear tus dientes, mejorar tu mordida y potenciar tu salud bucal sin importar tu edad.
Muchos adultos creen que la ortodoncia solo mejora la apariencia de la sonrisa, pero en realidad corrige problemas funcionales que pueden afectar tu calidad de vida.
Corrige problemas de mordida (maloclusión, sobremordida, mordida cruzada).
✔️ Evita desgastes dentales y problemas articulares.
✔️ Mejora la digestión y la pronunciación.
✔️ Reduce la aparición de caries y enfermedades periodontales.
✔️ Aumenta tu autoestima al conseguir una sonrisa más armónica.
No hay límite de edad para empezar un tratamiento de ortodoncia. ¡Nunca es tarde para transformar tu sonrisa!
En Ortodoncia Dra. Fleitas, trabajamos con las técnicas más avanzadas para ofrecerte el tratamiento que mejor se adapte a tus necesidades.
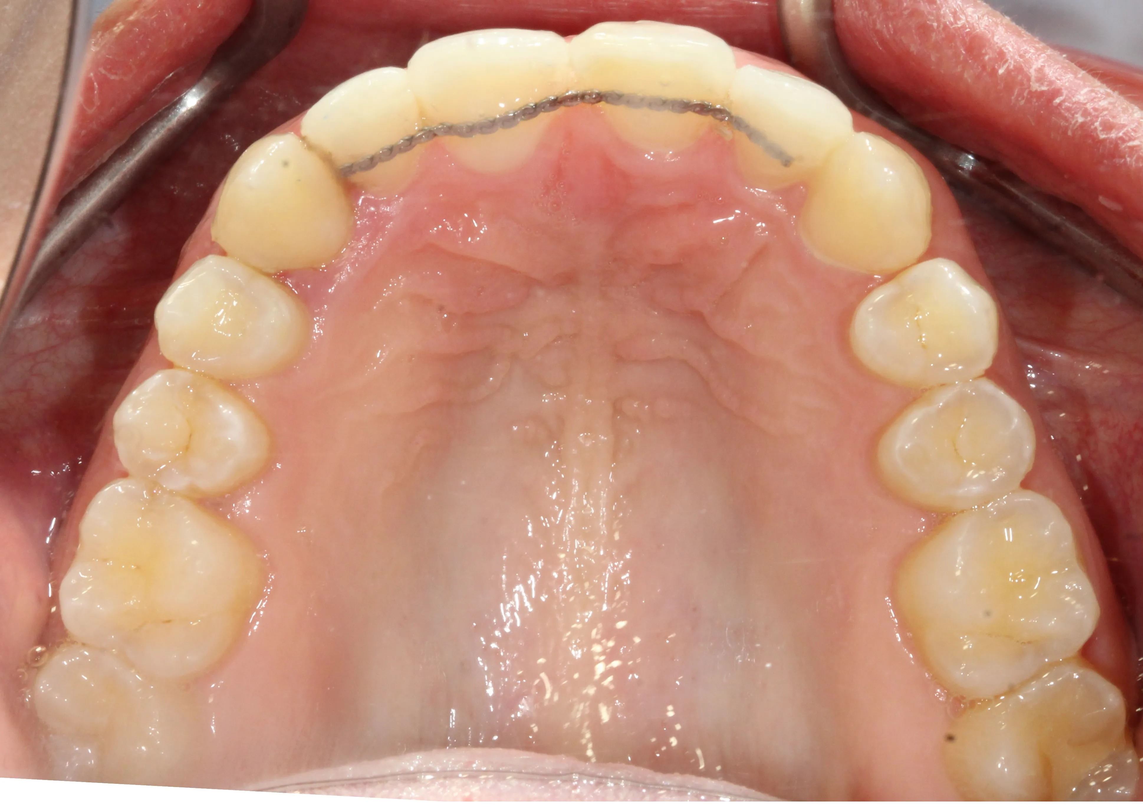
🔹 Ortodoncia Invisible (Invisalign) – Alineadores transparentes removibles, prácticamente invisibles y cómodos.
🔹 Brackets Estéticos (Zafiro o Cerámicos) – Discretos, resistentes y efectivos.
🔹 Brackets Linguales – Totalmente invisibles, colocados en la cara interna de los dientes.
🔹 Brackets Metálicos Avanzados – La opción más tradicional y efectiva en casos más complejos.
📌 ¿Cuál es el mejor tratamiento para ti? Nuestro equipo estudiará tu caso y te recomendará la mejor solución. ¡Agenda tu primera consulta sin compromiso!
En Ortodoncia Dra. Fleitas somos expertos en Ortodoncia invisible.
Además, disponemos de todo tipo de herramientas para previsualizar el movimiento de los dientes durante el tratamiento y mostrar el resultado final antes de comenzar.
En nuestra clínica, nos especializamos en trabajos de ortodoncia que van más allá de la corrección estética. Nos enfocamos en mejorar la salud bucal general y abordar problemas específicos, como maloclusiones y problemas de mordida. Nuestros tratamientos no solo transforman tu sonrisa, sino que también contribuyen a una salud oral óptima.
Enfoque Holístico: Entendemos que la ortodoncia para adultos va más allá de la estética dental. Consideramos la salud bucal en su totalidad, trabajando para mejorar la funcionalidad y la comodidad, además de lograr una sonrisa hermosa.
Profesionales Experimentados: Nuestro equipo de ortodoncia altamente experimentado está comprometido con brindar resultados excepcionales. Con una atención personalizada y un enfoque centrado en el paciente, te acompañamos en cada paso del proceso.
Flexibilidad y Comodidad: Reconocemos las demandas de la vida adulta, por lo que ofrecemos horarios flexibles y tratamientos adaptados a tu agenda. Nuestra meta es hacer que el proceso de ortodoncia sea conveniente y sin complicaciones para ti.
En Ortodoncia Dra. Fleitas, creemos que nunca es tarde para lograr la sonrisa que deseas. Descubre el poder transformador de la ortodoncia para adultos con nosotros.
Si experimentas alguno de estos problemas, la ortodoncia es una excelente solución para mejorar tu salud bucal:
🔸 Dientes apiñados o torcidos.
🔸 Espacios entre los dientes (diastema).
🔸 Mordida abierta o cruzada.
🔸 Dolores en la mandíbula o problemas de articulación temporomandibular (ATM).
🔸 Recidiva (dientes que se han movido tras un tratamiento previo).
No esperes más para mejorar tu sonrisa y tu salud. Reserva tu consulta gratuita hoy mismo.


Jezabel Monica2024-02-20 ENCANTADA!! Es como me siento con este equipo de profesionales; desde que llamas para pedir información y te atiende Yurena dándote soluciones y explicándote todo con una enorme sonrisa, pasando por Carolina que es un encanto con su infinita paciencia, igualmente con Maribel escuchando mi largo historial de desastres odontólogicos…hasta llegar a la Dra Elara que desprende una tranquilidad enorme mientras te escucha y entiende tus necesidades para ofrecerte la mejor solución. Y finalmente las instalaciones son muy TOP; cabinas preciosas! Y material/aparatología puntera. IN LOVE TOTAL!! Valentín CA2024-01-17 Unos profesionales realmente fantásticos. La doctora Eleara y todo y su equipo me han ofrecido un trato inmejorable con unos resultados increíbles. Totalmente recomendables 💖🦷 liz diaz2023-11-08 He acudido a ellos para la ortodoncia invisible. Muy profesionales, atentos, cambios de cita y de planteamientos del tratamiento sin ningún tipo de problema. Muy contenta con la atención y el resultado. joaquin2023-10-05 Muy bien, increíble. Hace poco termine mi tratamiento de ortodoncia y me han dejado los dientes perfectos. Son las enfermeras más amables que he conocido nunca y la doctora también. Los recomiendo mucho, y encima están en pleno centro de la ciudad, ¿Que más se puede pedir? tony alvarez2023-08-24 Buen servicio y buenos precios un poco retrasados siempre con los horarios pero bien. Marcos Barrera Millares2023-08-02 Estuve llevando brackets casi 2 años y la verdad es que no pude haber elegido mejor sitio para hacerme cualquier tratamiento. Profesionalidad impecable por parte de todo el equipo en todo momento y una calidad humana increíble. Sin lugar a dudas cualquier cosa que necesite en un futuro volveré aquí, 100% recomendando. Karl Burén2023-07-17 Muy buena atención como siempre. Personal encantadora 👌🏼 IREMA DAMASO MARTIN2023-07-11 Trato especializado en niños y genial
Solicita tu primera visita en la unidad de ortodoncia Dra. Fleitas de forma totalmente gratuita. Nuestro equipo estará encantado de valorarte y asesorarte.
No hay una edad límite. Cualquier persona con dientes y encías sanas puede someterse a un tratamiento ortodóncico.
Depende de cada caso, pero suele oscilar entre 12 y 24 meses.
El precio varía según el tipo de ortodoncia elegida. En nuestra clínica te ofrecemos opciones adaptadas a tu presupuesto y planes de financiación.
¡Por supuesto! Solicita tu primera consulta gratuita a través de nuestra web o por teléfono.
Lunes y Martes
11:30h -14:00h y 14:30h-20:00h
Miércoles y Jueves
9:30h-14:00h y 14:30h -18:00h
Viernes y Sábado
10:00h-14:00h.
domingos
Cerrado
Usamos cookies esenciales para que nuestro sitio funcione. Con su consentimiento, también podremos usar cookies no esenciales para mejorar la experiencia del usuario y analizar el tráfico del sitio web. Al hacer clic en “Aceptar“, acepta el uso de cookies de nuestro sitio web tal como se describe en nuestra Política de cookies. Puede cambiar sus ajustes de cookies en cualquier momento haciendo clic en “Preferencias”.